2018年01月17日
ホワイトニングしてみませんか?
香川県 三木町 農学部前 阿部歯科医院スタッフです。
新年を迎えてから早くも半月が過ぎました。
皆さんも新たな気持ちで2018年をスタートされていることと思います。
私は年々1年があっという間に感じられ、自分でも驚いています(^^;)
さて、皆さんはホワイトニングと聞くとどんなことを想像しますか?
歯や歯肉に悪い影響があるのではないか、、、
不自然な白さになるのではないか、、、
何度も歯科医院に通院しなければいけないのではないか、、、
など、白くはなるが、あまりいいイメージを持っていない人も
多いと思います。
しかし!! ホワイトニングというのは過酸化尿素を含む
ホワイトニング剤を歯に浸透させ、沈着した色素を分解して
透明感のある白い歯にするので歯に悪い影響はありません。
また、2〜3回程度の通院で大丈夫です。
実は私も最近ホームホワイトニングをしました (°▽°)!!
ホームホワイトニングとは医師の指導のもと患者さん自身が
ご自宅などで行うものです。
比較的低濃度の過酸化尿素が含まれた材料を使用するので
効果が現れるまでだいたい2週間くらい継続する必要がありますが
その分、後戻りはしにくいです。
始めてみると、だんだん自分の歯が白くなっていくことが実感でき
苦痛になりませんでした!
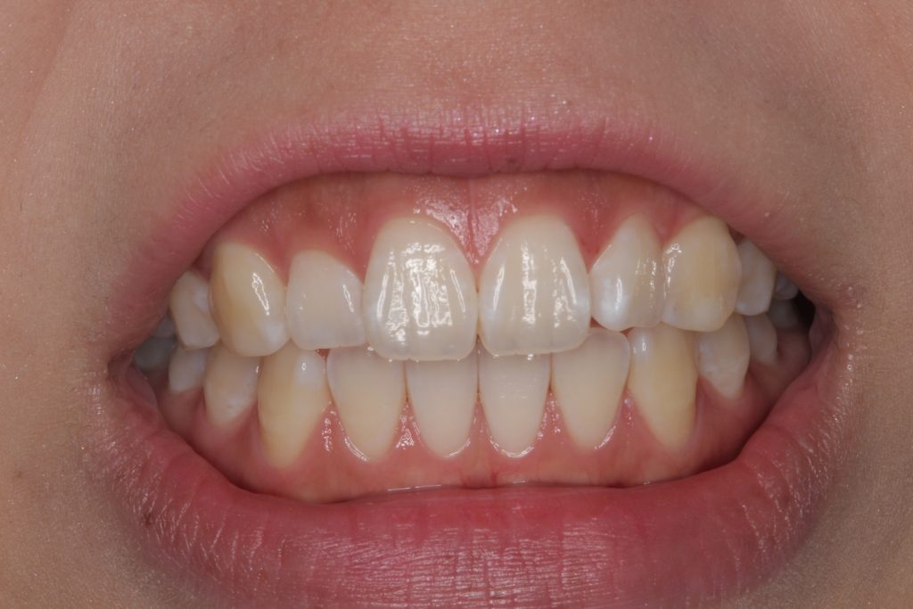
『 ホワイトニング前 』
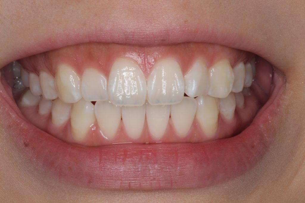
『 ホワイトニング後 』
この実体験を生かして患者さんにも分かりやすく伝えたいです(^^)
予防歯科 口腔外科(親知らず)インプラント 歯周病 審美歯科 妊婦さんのための歯科
阿部歯科医院は地域の健康を支える歯科医院を目指しています。



















